Cases治療症例
20代 女性 ゴムかけを併用し噛み合わせを改善!インビザライン矯正
- 患者様
- 20代女性
- 治療期間
- 2年2ヶ月
- 概算治療費
- 88万円(インビザライン コンプリヘンシブパッケージ)
- 担当医
- 今村
来院動機
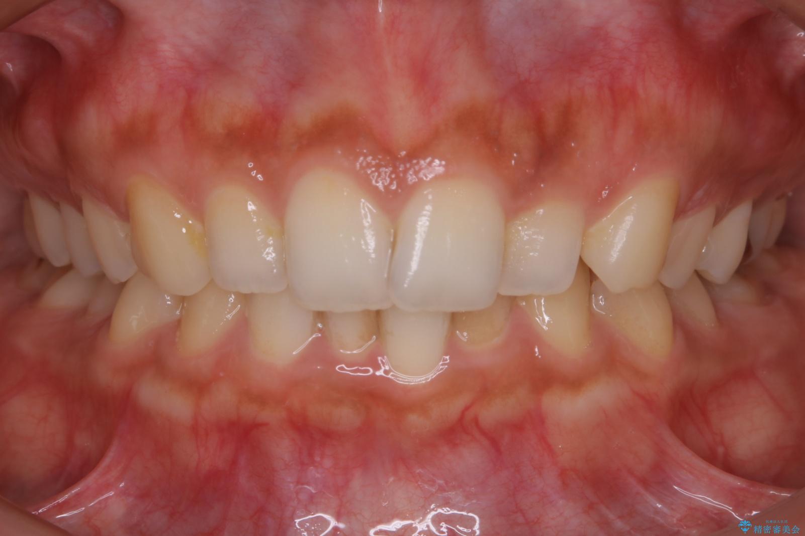
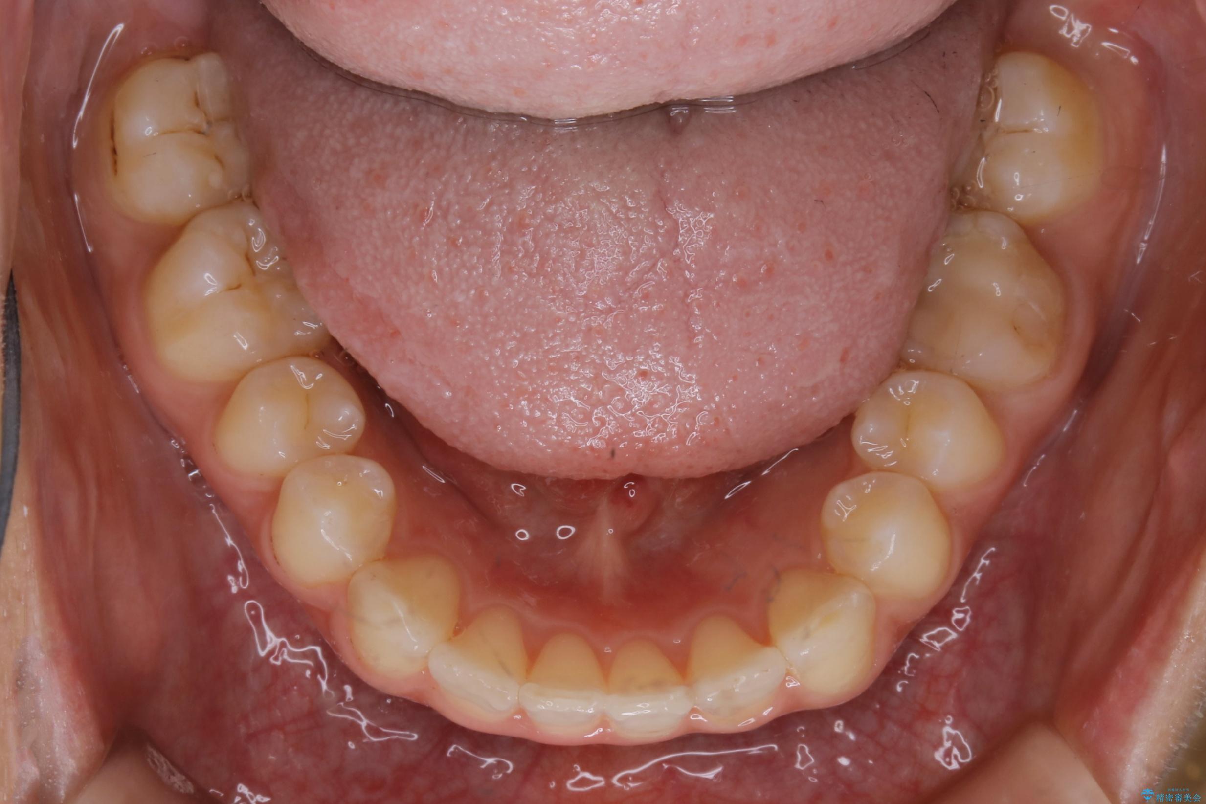
気になるガタツキと噛み合わせを改善したいとご来院されました。
治療計画
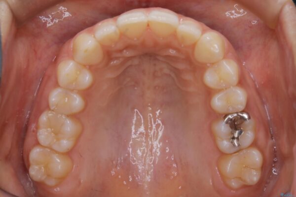
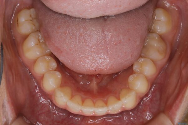
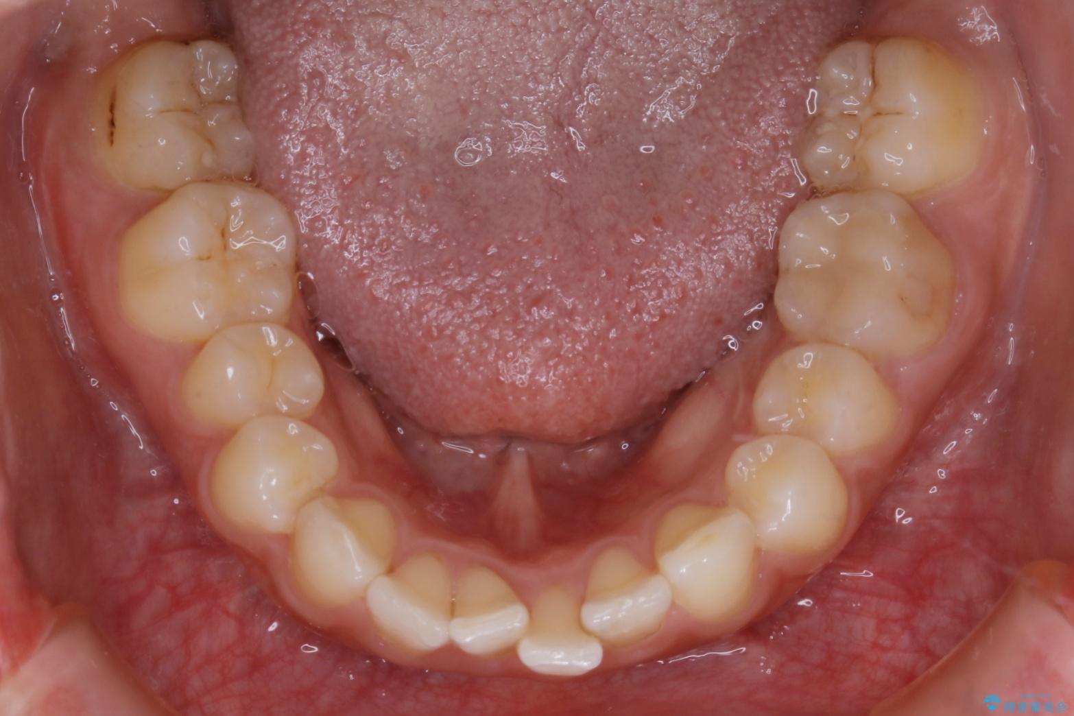
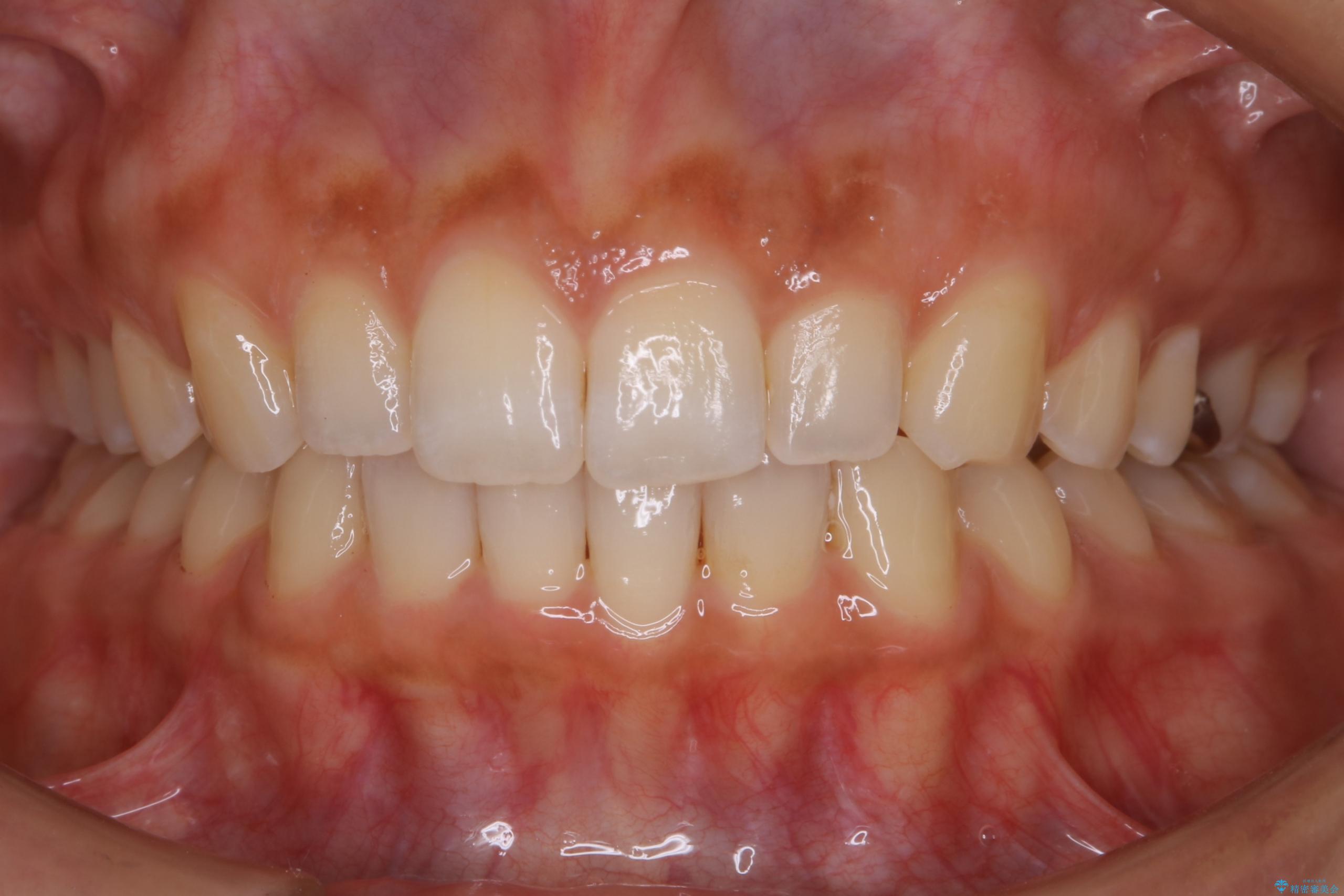
下の歯列よりも上の歯列が前に出ている状態を治すため、マウスピース矯正に加え、患者様にゴムかけのご協力をいただきました。その結果、ガタつきが改善し、上下の噛み合わせが適切な位置で合うようになりました。
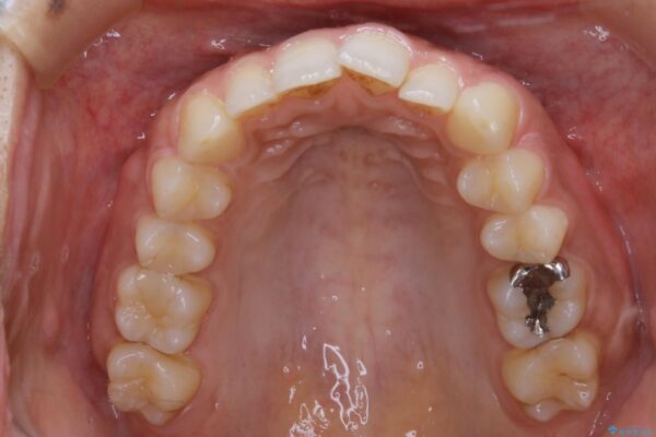
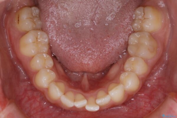
歯列弓の拡大
歯並びが悪くなる原因の一つに「歯列弓の狭窄」というものがあります。
奥歯や前歯が内側(舌側)に倒れ込んでしまったり、歯が生えてくる位置が内側になってしまうことにより歯並びのアーチが狭くなってしまうことを言います。
このような場合、歯並びのアーチを拡大してあげるだけでもガタつきを無くすためのスペースがかなり作れることがあります。
奥歯や前歯が内側(舌側)に倒れ込んでしまったり、歯が生えてくる位置が内側になってしまうことにより歯並びのアーチが狭くなってしまうことを言います。
このような場合、歯並びのアーチを拡大してあげるだけでもガタつきを無くすためのスペースがかなり作れることがあります。








