menu
表参道しらゆり歯科

電話番号をタップしてください

診療時間
平日 11:00~13:00 / 14:30~20:00
土日 10:00~13:00 / 14:30~18:00
×

Cases治療症例

20代 女性 非抜歯で歯列をコンパクトに

患者様
20代女性
治療期間
2年2ヶ月
概算治療費
96.8万円(インビザライン コンプリヘンシブパッケージ + マイクロインプラント費用)
担当医
今村

来院動機

前歯のガタつき、噛み合わせの不調を改善したいとご来院されました。

治療計画

目立たない装置で矯正したいと希望されたため、インビザライン(マウスピース矯正)による非抜歯矯正を行いました。矯正を始める前に、虫歯などがあれば、先にすべて治療して全体のお口の状態を整えます。

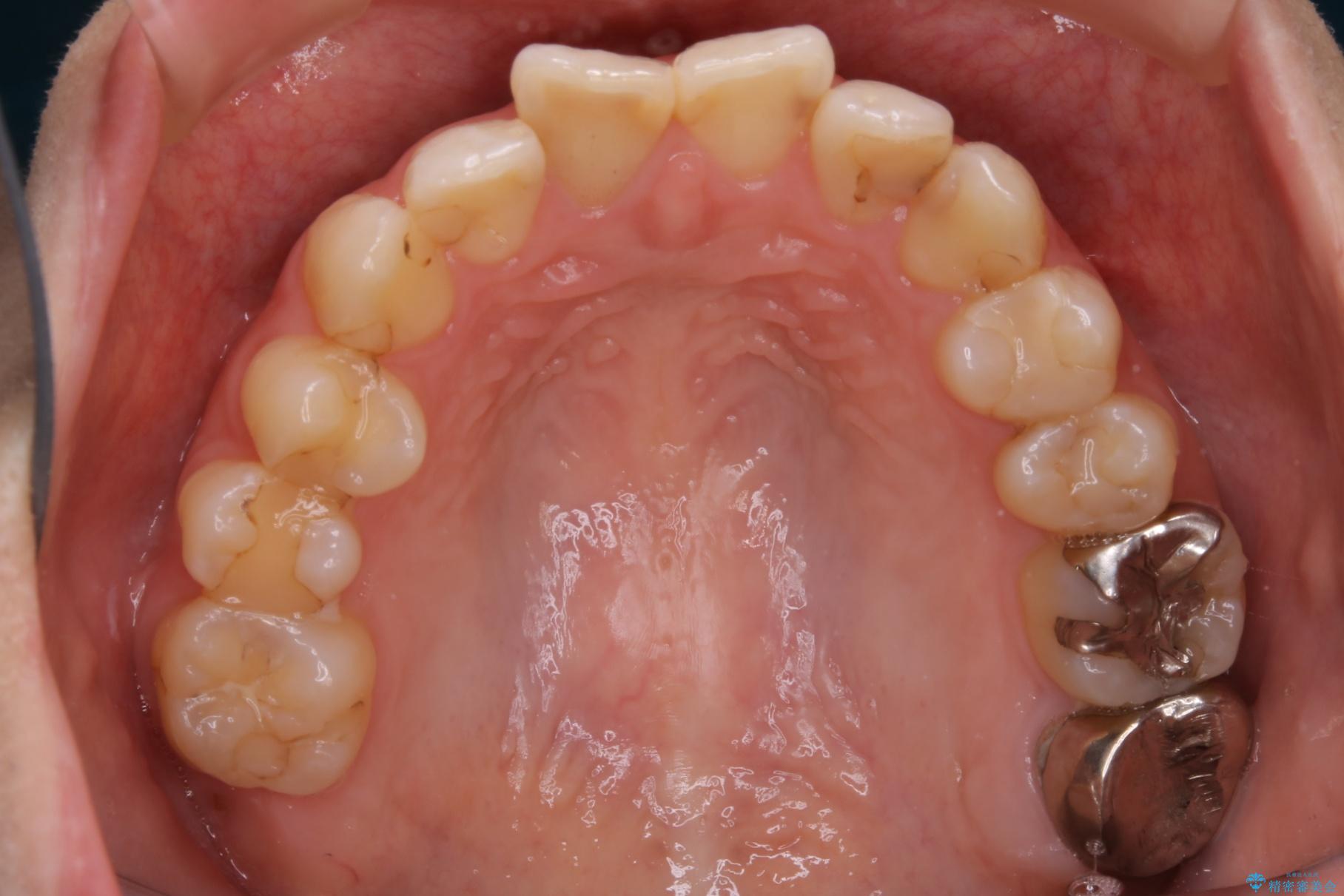
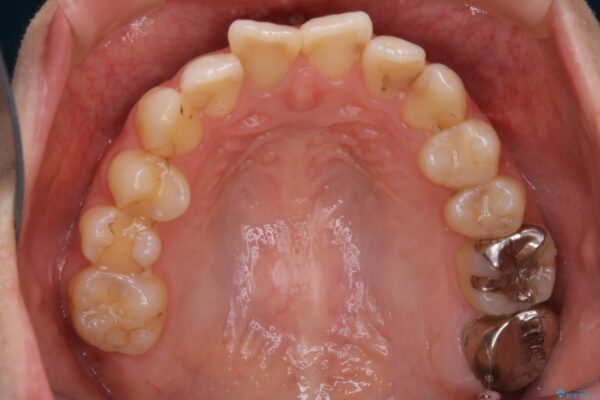
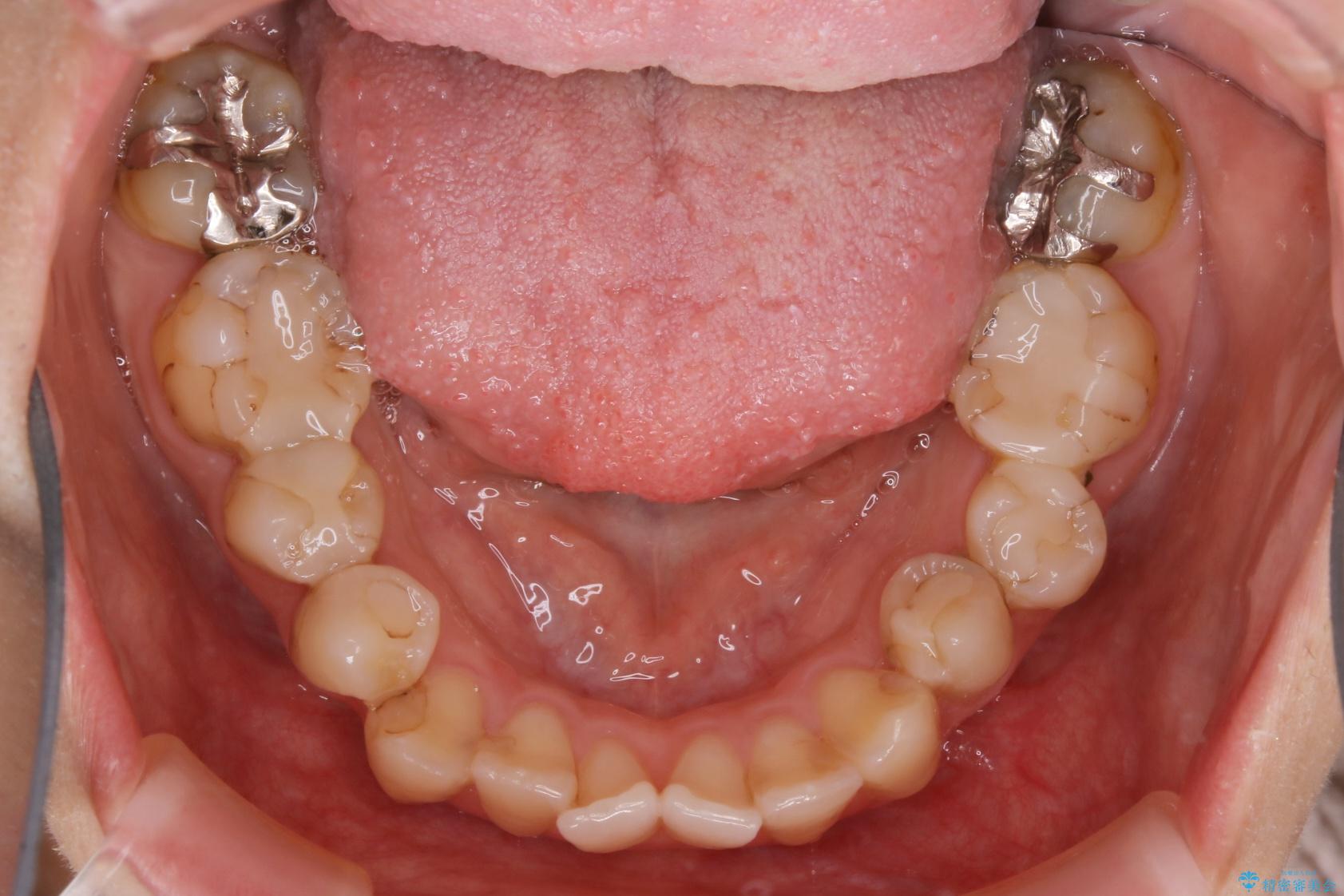
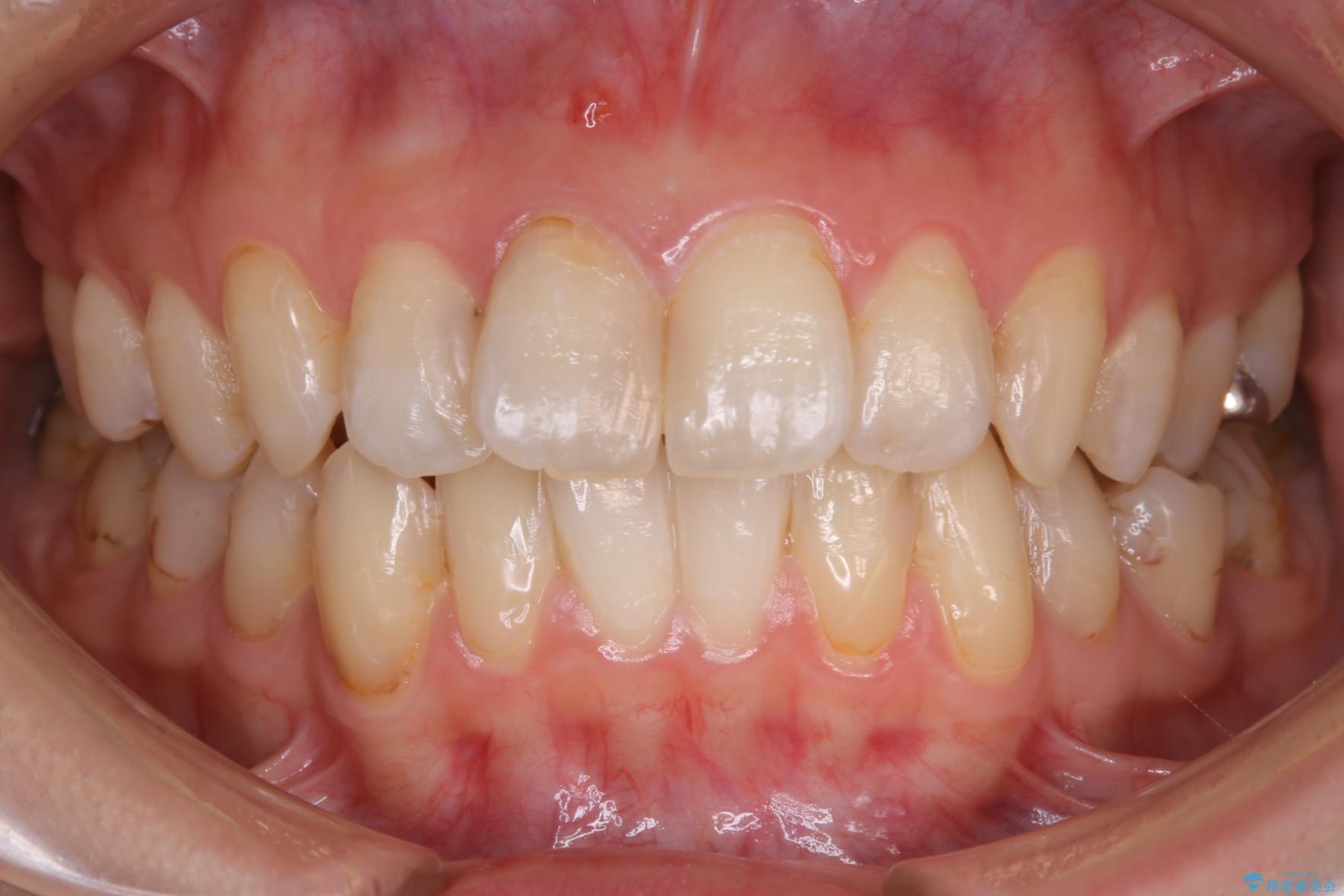
治療前
20代 女性 非抜歯で歯列をコンパクトに20代 女性 非抜歯で歯列をコンパクトに20代 女性 非抜歯で歯列をコンパクトに
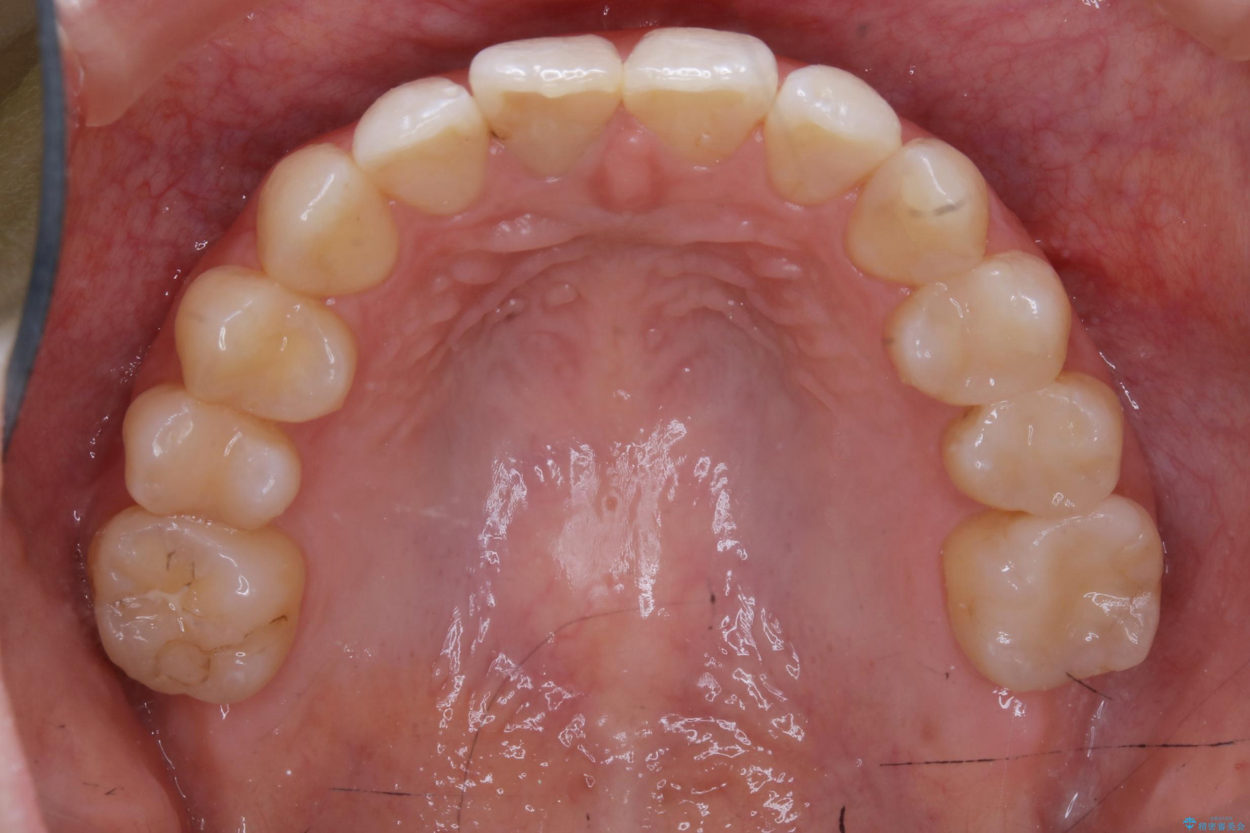
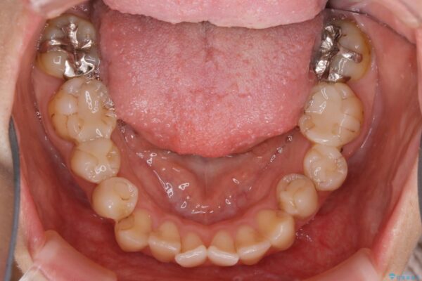
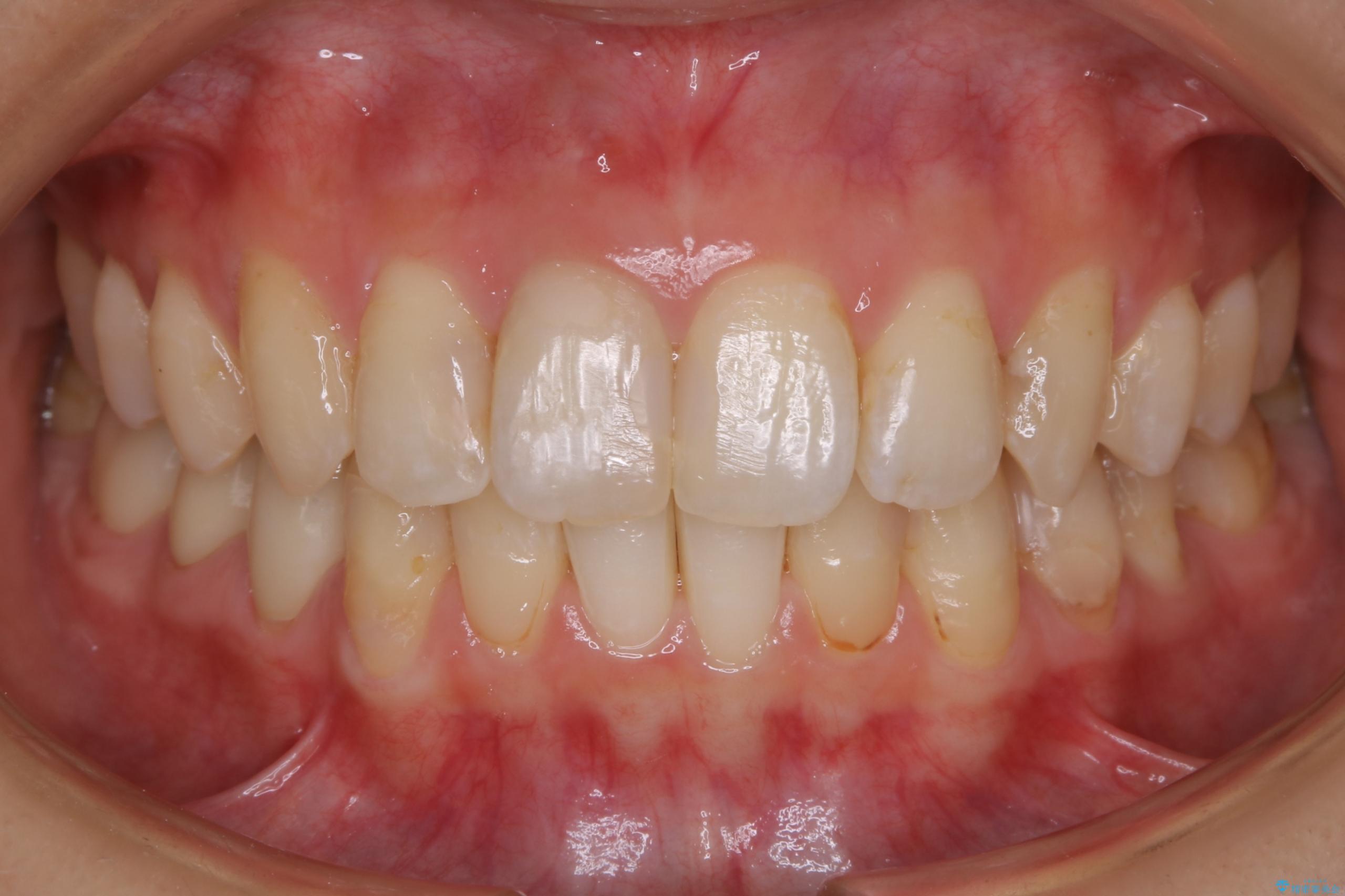
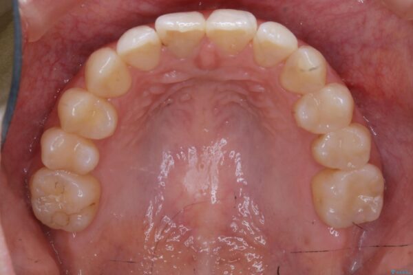
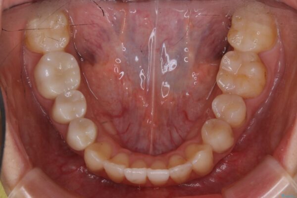
治療後
20代 女性 非抜歯で歯列をコンパクトに20代 女性 非抜歯で歯列をコンパクトに20代 女性 非抜歯で歯列をコンパクトに

矯正治療と術前治療

当院では矯正治療を主訴にご来院された方は治療開始前に必ず精密検査を受けていただきます。
ご本人は症状もなくご自覚がなくても実は歯周病が進行していたり、根管治療が必要な歯が見つかるということもあります。
基本的にはそういった歯周病・虫歯に対しての治療は矯正治療開始前に完治させておく必要があります。これは、矯正装置装着後は清掃不良になりやすく虫歯の進行が早まったり、歯を移動させることで歯周病や根尖病巣が悪化する恐れがあるためです。

ディスキング(IPR)

歯のガタつきをとるためのスペース作りの方法の一つにディスキング(IPR)という方法があります。
歯と歯の間を一ケ所あたり最大0.5mmまでの範囲内で削ることで歯自体が少し小さくなり、それにより作られるスペースを数ヶ所分合わせることで合計で数mmの大きなスペースが作れるという方法です。
当院ではなるべく歯の機能や見た目に影響の出ないよう、作業時に拡大鏡の使用や削るタイミングの微調整を行っています。

関連する症例

10代女性 早めに始める受け口(反対咬合)の矯正治療 治療前
10代女性 早めに始める受け口(反対咬合)の矯正治療
20代男性 上顎のガタガタな歯列をインビザラインで矯正治療 治療前
20代男性 上顎のガタガタな歯列をインビザラインで矯正治療
20代男性 インビザライン単独での抜歯矯正 治療前
20代男性 インビザライン単独での抜歯矯正

無料相談予約・お問い合わせ

event_available無料相談予約

無料カウンセリングを
ご希望の方はこちら

mail_outlineお問い合わせ

医院へのお問い合わせ・
ご質問はこちら

phone_forwarded医院直通電話

お電話でのご予約も
受付けております