Cases治療症例
20代 女性 劣化した保険のプラスチックをセラミックへ
- 患者様
- 20代女性
- 治療期間
- 1ヶ月
- 概算治療費
- 7.7万円
- 担当医
- 今村
来院動機
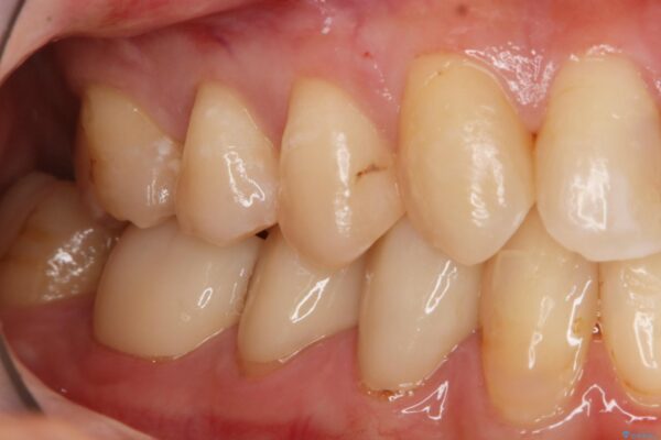
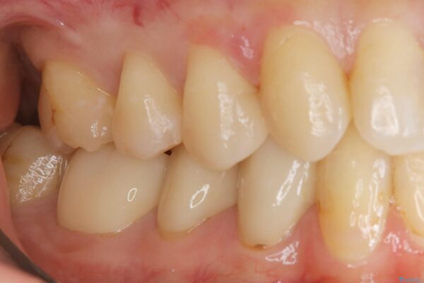
保険のプラスチックの詰め物が変色したとのことで、やり直しを希望された患者様です。
治療計画
各治療方法のメリットとデメリットを説明し、自費のセラミックインレーを選択されました。このインレー治療は、来院回数が約2回と少なく、虫歯の部分だけを最小限に削るため、ご自身の健康な歯を最大限に残したい方に最適な治療法です。
セラミックインレー
虫歯になった範囲が大きくなってくると削る範囲も比例して大きくなります。ある一定以上の大きさや範囲になった時の治療法に「インレー」というものがあり、保険の範囲では銀歯かプラスチック(適用条件有り)が、自費ではセラミックやゴールドといった素材を選ぶことができます。
セラミックやゴールドは、素材自体の劣化が非常に少なく精度も高いため、治療費はかかりますが、やり直しになる可能性を限りなく低くすることができます。
セラミックやゴールドは、素材自体の劣化が非常に少なく精度も高いため、治療費はかかりますが、やり直しになる可能性を限りなく低くすることができます。




