Cases治療症例
30代 女性 インビザラインで抜歯矯正
- 患者様
- 30代女性
- 治療期間
- 2年6ヶ月
- 概算治療費
- 104.5万円(インビザライン コンプリヘンシブパッケージ + マイクロインプラント費用)
- 担当医
- 今村
来院動機
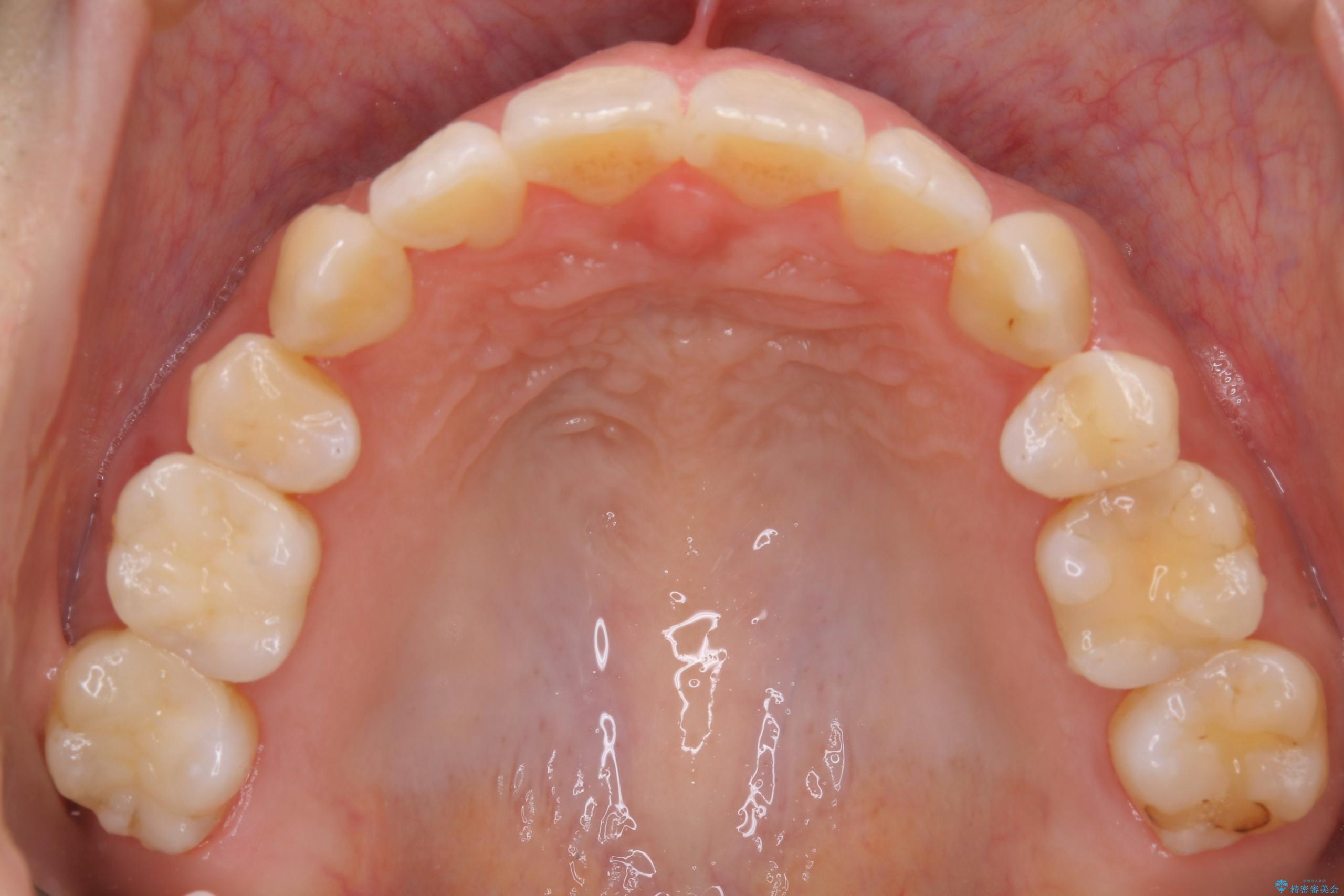
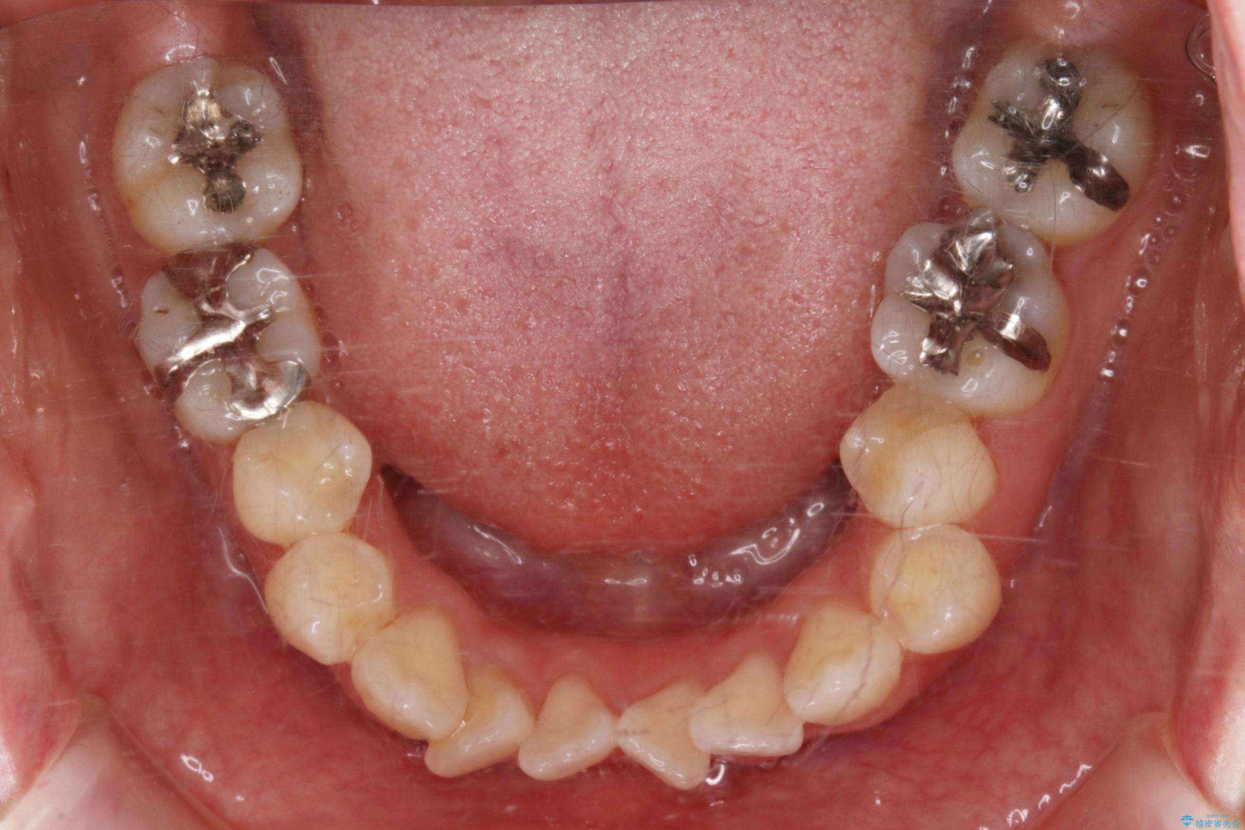
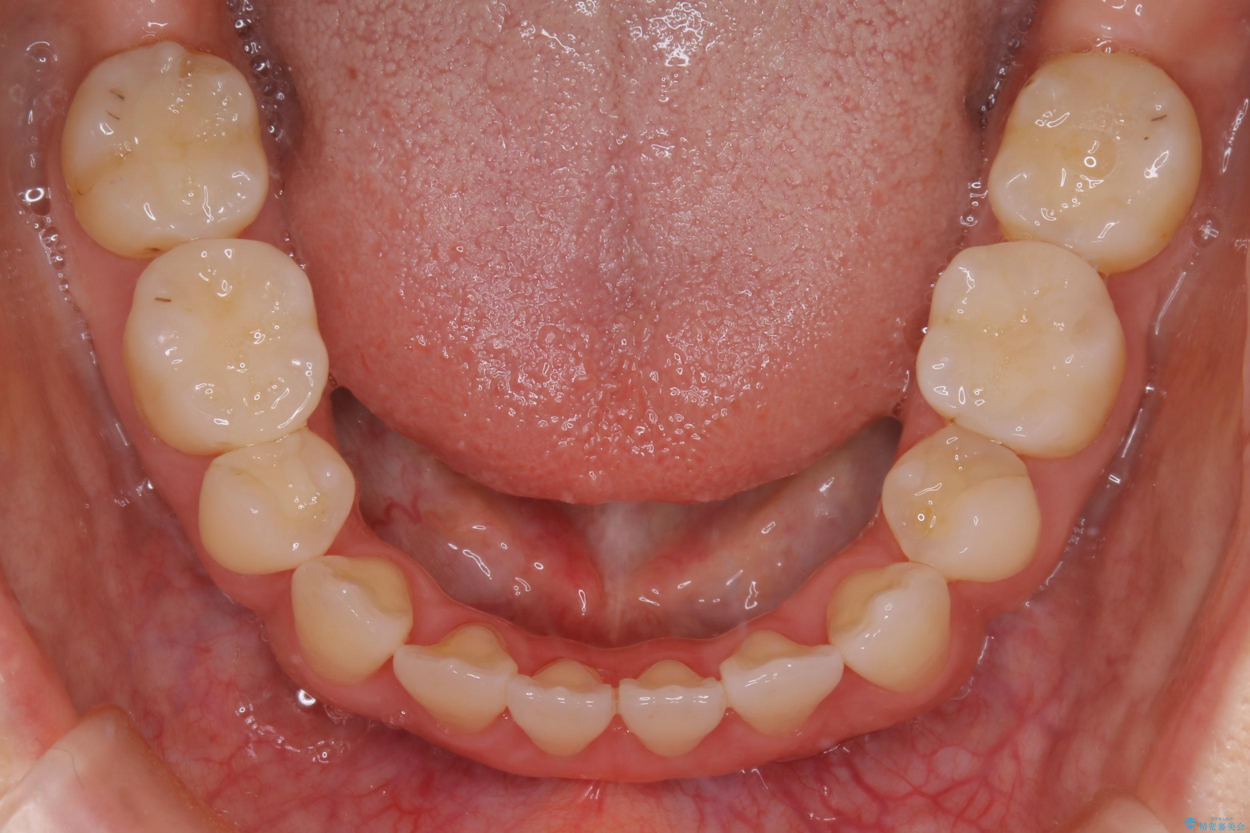
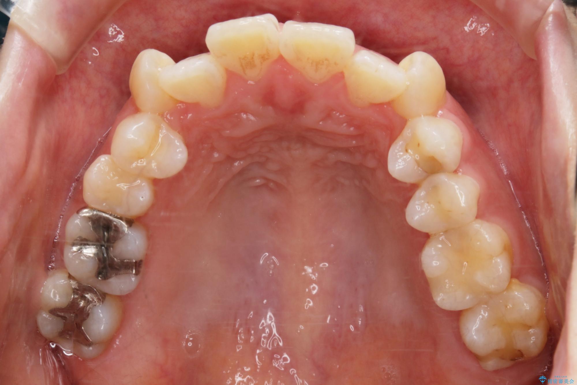
前歯のガタつき、噛み合わせの不調を改善したいとご来院されました。
治療計画
お仕事柄、目立たない矯正装置をご希望されたため、今回はインビザラインと抜歯を組み合わせた治療で対応します。
抜歯後の大きなスペースの管理は通常ワイヤー矯正が得意ですが、こちらの患者様は奥歯の噛み合わせが比較的安定しており、犬歯の傾きを改善すれば良いため、マウスピースでも十分に精密な治療が可能と判断しました。
抜歯矯正
歯のガタつきの度合いが強い場合や、上下で大きく噛み合わせがズレている時などに、その改善のための大きなスペースを作る代表的手段が「抜歯」です。
一般的には第一小臼歯(犬歯の一つ隣の歯)を抜くことが多く、前歯のガタつきを改善したり口元を引っ込める場合に利用されます。
一般的には第一小臼歯(犬歯の一つ隣の歯)を抜くことが多く、前歯のガタつきを改善したり口元を引っ込める場合に利用されます。
オープンバイト
臼歯の位置が高く噛んだ時に奥歯しか当たらなかったり、舌癖などが原因で前歯が前に倒れてしまうことで上下の前歯の被蓋がなくなってしまっている状態をオープンバイトといいます。前者の場合は臼歯を圧下し沈めてあげることで改善させます。後者の場合は前方に傾斜している歯を元の角度に戻してあげることで改善しますが、舌癖がある場合はその癖自体を無くす治療をしない限りまた同じ状態へと後戻りしてしまいます。








