menu
表参道しらゆり歯科

電話番号をタップしてください

診療時間
平日 11:00~13:00 / 14:30~20:00
土日 10:00~13:00 / 14:30~18:00
×

Cases治療症例

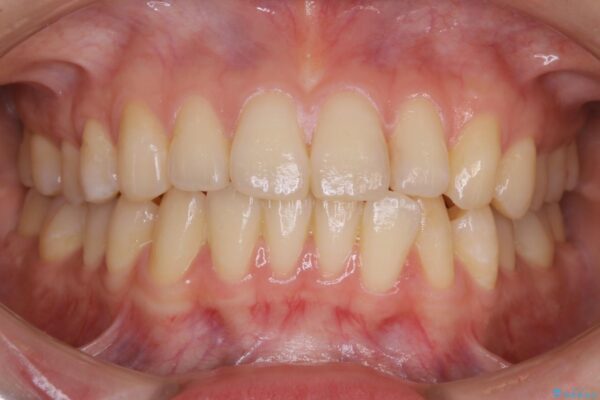
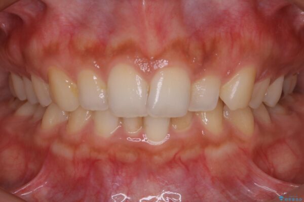
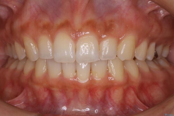
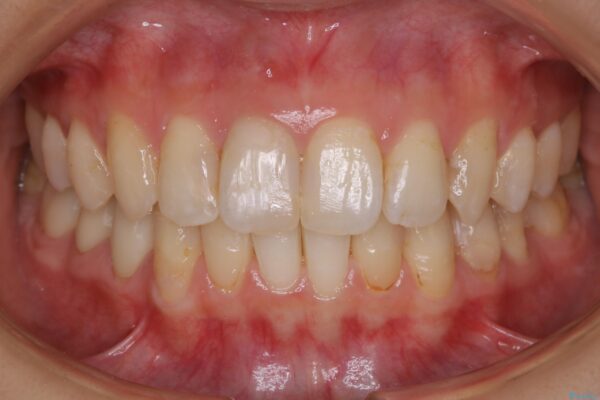
30代 女性 インビザラインで抜歯矯正

治療前 治療後

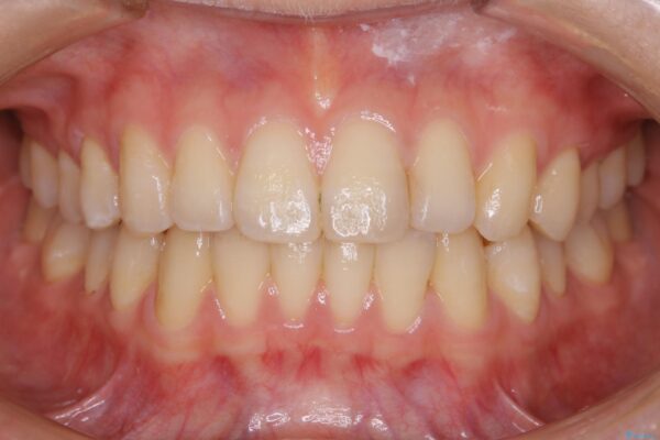
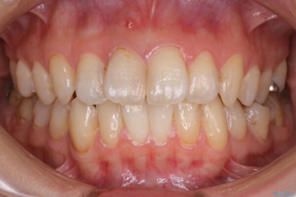
20代 女性 劣化した保険のプラスチックをセラミックへ

治療前 治療後

20代 女性 非抜歯で歯列をコンパクトに

治療前 治療後

20代 女性 インビザラインで短期間矯正

治療前 治療後

20代 女性 ゴムかけを併用し噛み合わせを改善!インビザライン矯正

治療前 治療後

50代 男性 前歯の被せ物を新しく

治療前 治療後

30代女性 前歯の反対咬合をマウスピースで改善

治療前 治療後

20代女性 噛み合わせの歪みを超短期間でインビザライン治療

治療前 治療後

30代女性 黒ずんだ虫歯をセラミック治療

治療前 治療後

20代女性 保険治療の詰め物が変色したので治したい

治療前 治療後

お問い合わせ

mail_outlineお問い合わせ

医院へのお問い合わせ・
ご質問はこちら

phone_forwarded医院直通電話

お電話でのご予約も
受付けております

表参道しらゆり歯科 閉院・医院統合のお知らせ

平素は格別のご高配を賜り厚く御礼申し上げます。

     

開院以来、8年近くにわたり皆様のご厚情をいただいて診療を続けて参りましたが、この度、表参道しらゆり歯科は2026年2月末をもちまして閉院し、渋谷しらゆり歯科に統合いたしました。

ご通院中の患者様につきましては、分院にて治療の継続をさせていただきたく存じます。

詳しくは、担当医・スタッフまでご相談いただきますようお願い申し上げます。

今後とも、さらなる診療の向上を目指して研鑽してまいりますので、一層のお引立てを賜りますよう宜しくお願い申し上げます。

渋谷しらゆり歯科

     

https://shibuyashika.net/
03-6427-0983