menu
表参道しらゆり歯科

電話番号をタップしてください

診療時間
平日 11:00~13:00 / 14:30~20:00
土日 10:00~13:00 / 14:30~18:00
×

Cases治療症例

30代女性 前歯のブリッジ治療例

患者様
30代女性
治療期間
6ヶ月
概算治療費
80万円
担当医
福本

来院動機

前歯のセラミック治療を希望され、来院されました。

治療計画

歯周病検査とマイクロ検査の結果、歯の破折を発見した為、その歯の抜歯および歯肉結合組織移植をご提案し、前歯のブリッジ治療を行う計画にしました。

治療後について

歯周病検査、マイクロ検査により発見した歯の破折の治療の為、抜歯によってできた「くぼみ部分」に歯肉結合組織移植を行いました。前歯のブリッジ治療もオールセラミックにしたため、審美性と清掃性の改善が出来ました。患者様に感謝のお言葉を頂ける程、満足のいただける仕上がりとなりました。

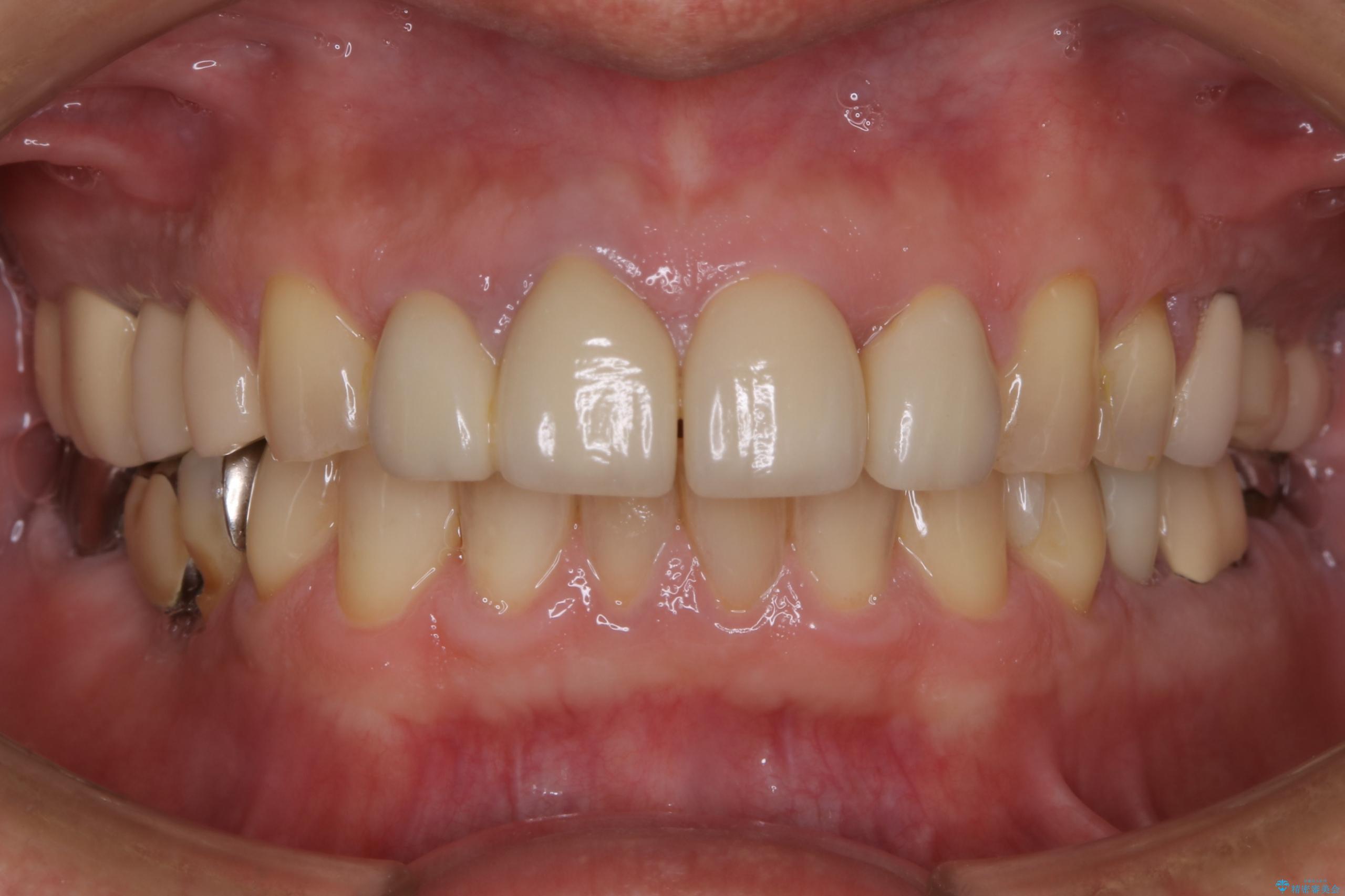
治療前
30代女性 前歯のブリッジ治療例30代女性 前歯のブリッジ治療例
治療後
30代女性 前歯のブリッジ治療例30代女性 前歯のブリッジ治療例

セラミック治療とは

差し歯、前歯の変色や銀歯が気になる場合や歯が抜けてしまった場合などに、保険診療によるレジン製のクラウンではなく、セラミック製(自費診療)のクラウンを使用した治療です。セラミック製のクラウンの治療費は保険治療と比べると高くなりますが、審美性や耐久性に優れた素材のため、歯を長く、綺麗に保つことができます。

セラミック治療のリスクについて

・外科的な処置は手術の後に痛みを生じます。
・セラミックが破折した場合、修復や再作成が必要になることがあります。
・歯を削ります。
・自費診療(保険適用外)です。

当院のセラミック治療の特徴

・拡大鏡を使用します。
・被せ物との隙間を限りなく無くす精密歯科治療を行っています。
・短期集中治療を行っています。
・オールセラミック、ジルコニア、メタルボンドセラミック、ハイブリットセラミックなど、ご予算に合わせた素材を用意しています。

関連する症例

70代女性 保険治療と自費治療で異なる金属の詰め物治療例 治療前
70代女性 保険治療と自費治療で異なる金属の詰め物治療例
30代男性 神経一歩手前の深い虫歯をセラミッククラウンで治療 治療前
30代男性 神経一歩手前の深い虫歯をセラミッククラウンで治療
40代女性 古い不適合な詰め物をセラミックインレーで再治療 治療前
40代女性 古い不適合な詰め物をセラミックインレーで再治療

無料相談予約・お問い合わせ

event_available無料相談予約

無料カウンセリングを
ご希望の方はこちら

mail_outlineお問い合わせ

医院へのお問い合わせ・
ご質問はこちら

phone_forwarded医院直通電話

お電話でのご予約も
受付けております